Clinical Features


Anatomical Features

TCS is caused by the failure of migration of neural crest cells. Clinical manifestations of TCS reflects the hypoplasia of neural crest-derived branchial arch 1 and 2 cartilages, this in turn causes hypoplastic cranioskeletal defects.

These cranioskeletal defects will influence the normal development of the overlying tissues and structures

Functional Problems

In addition to the external defects, patients with TCS portray internal defects that will consequently lead to problems in breathing, feeding and speech.

Ensure that patient can eat, hear, and speak

Systemic Problems

Radiographical Records

Radiographical findings can be interpreted by:

Structural deformity Treacher-Collins syndrome Normal
Zygomatic hypoplasia

3D CT scan showing missing zygomatic arch

Radiographical features source 4

3D CT scan showing normal zygomatic arch

Radiographical features source 8
Airway obstruction

2D CT scan showing blocked airway

Radiographical features source 7

2D CT scan showing normal open airway

Radiographical features source 7
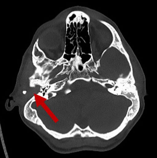
Middle ear deformities

2D CT scan showing deformed middle ear structure

Radiographical features source 8

2D CT scan showing normal middle ear structure

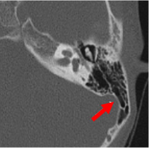
No auditory ossicles

2D CT scan showing missing auditory ossicles

Radiographical features source 7

2D CT scan showing normal auditory ossicles

Radiographical features source 7
Mandibular hypoplasia

Prenatal 3D\4D ultrasound showing underdeveloped mandible

Radiographical features source 2

Prenatal 3D\4D ultrasound showing normal development of the mandible

Radiographical features source 2

3D CT scan showing underdeveloped ramus and mandible

Radiographical features source 8

3D CT scan showing normal mandibular and ramus development

Radiographical features source 8
Fused vertebrae

2D CT scan showing fused 2nd and 3rd vertebrae

Radiographical features source 9

2D CT scan showing normal vertebrae

Radiographical features source 6
The findings between cases are typically similar with some difference in the severity.